The image displays a blurred, bokeh-style background with a gradient of blue and purple hues, suggesting a soft focus effect, overlaid on a solid grey area that appears to be a placeholder or a divider.

Smile Gallery

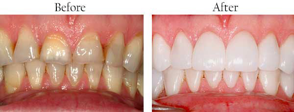
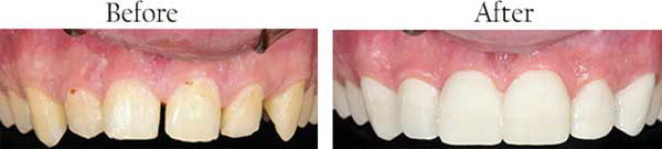
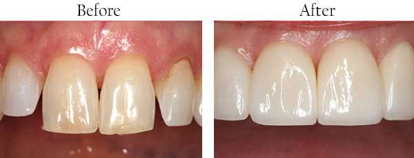
Before and after teeth whitening comparison, showcasing a significant improvement in tooth color. The image shows a before and after comparison of teeth whitening, with the top half showing teeth discoloration and the bottom half displaying the same teeth after treatment. Before and after comparison of dental implant procedure. The image shows a before-and-after comparison of dental treatment, with the left side showing a patient s teeth in need of repair and the right side displaying the same teeth after treatment. The image shows a before-and-after comparison of dental teeth whitening, with the top half showing discolored teeth and the bottom half displaying a brighter, whiter smile after treatment. The image shows a before-and-after comparison of dental work, with the  before  side showing a set of teeth with visible staining and discoloration, and the  after  side displaying the same teeth after professional cleaning or whitening treatment. The image shows a before and after comparison of teeth whitening, with the  before  side showing yellowed teeth and the  after  side showing significantly whiter teeth. The image shows a before and after view of teeth whitening, with the top half showing discolored teeth and the bottom half displaying a brighter, whiter smile.

Office Hours

Mon - Fri: 8:00am - 6:00pm

 

Cabezon Dental
2401 Cabezon Blvd SE, Suite 101-A, Rio Rancho, NM 87124

© 2026 Cabezon Dental. All Rights Reserved. | Accessibility Policy
Rio Rancho Dentist | Dentist in Rio Rancho | Dentist Rio Rancho
The image displays a blurred, bokeh-style background with a gradient of blue and purple hues, suggesting a soft focus effect, overlaid on a solid grey area that appears to be a placeholder or a divider.